VADODARA : નસીબનો બળિયો ! યુવકના ગળામાં વાગેલું 14 ઇંચનું તીર કઢાયું, હાલત સ્થિર
VADODARA : વડોદરાની એસએસજી હોસ્પિટલ (SSG HOSPITAL - VADODARA) માં યુવકના ગળાના ભાગે 14 ઇંચનું ધાતુનુ તીર ઘૂસી ગયેલી હાલતમાં તેને રીફર કરવામાં આવ્યો હતો. તીરની ઇજાથી મુખ્ય રક્તવાહીનીઓ અને નસ બચી જતા તેનું અલગ અલગ વિભાગોના નિષ્ણાંતો દ્વારા સફળ ઓપરેશન કરવામાં આવ્યું હતું. જેમાં 14 ઇંચના તીરને બહાર કાઢી લેવામાં આવ્યું છે. હાલ યુવકની હાલત સ્થિર હોવાનું હોસ્પિટલ સુત્રો જણાવી રહ્યા છે.
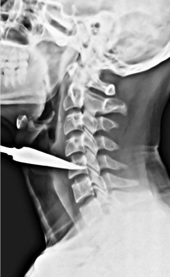
તીર ગરદનમાં સી - 5 વર્ટીબ્રા સુધી પહોંચ્યું
30, મે ના રોજ સાંજના 5 વાગ્યાના આરસામાં મધ્યપ્રદેશના અલીરાજપુરના આંબવા ગામે તીર વાગવાની એક ઘટના બની હતી. જેમાં 25 વર્ષિય યુવકના ગળાના ભાગે તીર ઘૂસી જતા તે ગંભીર રીતે ઘવાયો હતો. ગંભીર ઇજાગ્રસ્ત યુવકને તાત્કાલિક સારવાર અર્થે દાહોદની ખાનગી હોસ્પિટલમાં લઇ જવામાં આવ્યો હતો. જ્યાં તેની ટૂંકી સારવાર બાદ તેને વધુ સારવાર અર્થે એસએસજી હોસ્પિટલમાં રીફર કરવામાં આવ્યો હતો. 31, મે ના રોજ વહેલી સવારે યુવકને એસએસજી હોસ્પિટલમાં લાવવામાં આવ્યો હતો. તેને એસએસજી હોસ્પિટલના ઇએન્ડટી અને હેડ નેક સર્જકી ડિપાર્ટમેન્ટમાં દાખલ કરવામાં આવ્યો હતો. જ્યાં રેડિયોલોજીસ્ટ દ્વારા તેની તપાસ કરતા સામે આવ્યું કે, તીર ગરદનમાં સી - 5 વર્ટીબ્રા સુધી પહોંચ્યું છે. સદ્ભાગ્યે ગરદનની મુખ્ય રક્તવાહિનીઓ તથા નસ તેની ઇજાથી સલામત છે.
ફૂડ પાઇપ વિંધાઇ ગઇ
જેથી એસએસજી હોસ્પિટલના ઇ એન્ડ ટી વિભાગ અને ન્યુરો સાયન્સ વિભાગ દ્વારા સંયુક્ત રીતે યુવકનું ઓપરેશન કરવામાં આવ્યું હતું. તેનું ગળાનું ક્રિટીકલ ઓપરેશન કરીને તીરને બહાર કાઢવામાં આવ્યું હતું. દરમિયાન તીરના કારણે થાઇરોઇડ કોમલાસ્થિ (એર વે) અને ફૂડ પાઇપ વિંધાઇ ગઇ હોવાનું જણાઇ આવ્યું હતું. હાલ નિષ્ણાંત તબિબો દ્વારા 14 ઇંચના તીરને બહાર કાઢી લેવામાં આવ્યું છે. અને હાલ દર્દીની હાલત સ્થિર હોવાનું હોસ્પિટલ સુત્રો જણાવી રહ્યા છે.
એકલવ્યના વંશજ
સામાન્ય રીતે આજના સમયમાં તીરથી થતી ઇજાઓ દુર્લભ છે. મધ્યપ્રદેશના અલીરાજપુરમાં આજે પણ તીરંદાજી જીવંત છે. તીરંદાજી સ્થાનિક સમુદાયના લોકોના જીવનનનો અભિન્ન અંગ છે. બાળકો નાની ઉંમરથી જ તીરંદાજીનો અભ્યાસ શરૂ કરી દેતા હોય છે. પુુખ્ય વયના થતા જ તેઓ ધાતુના તીરનો ઉપયોગ તીરંદાજીમાં કરતા હોય છે. તેઓ પોતાને એકલવ્યના વંશજ હોવાનું ગર્વ અનુભવે છે. અને પૂર્વજોનો આદર દર્શાવવા માટે તીરંદાજી માટે મોટાભાગે જમણા હાથના અંગુઠાનો ઉપયોગ કરે છે. હાલના સમયે તેનો ઉપયોગ પશુપાલન અને સ્વરક્ષણ માટે થતો હોવાનું સુત્રો ઉમેરી રહ્યા છે. તેવામાં ક્યારેક આ પ્રકારની દુર્ભાગ્યપૂર્ણ ઘટનાઓ પણ સામે આવતી રહે છે.
આ પણ વાંચો -- VADODARA : ભાવ વધારાનો કલાત્મક વિરોધ કરી મેળવો મફત દૂધ



